ACTIOMSERVICE
La fracture du col du fémur
Qu’est-ce que le col du fémur ?
Le col du fémur désigne le haut d'un os de la cuisse qui se nomme le fémur, situé à l'endroit où il s'articule avec le bassin
Qu’est-ce qu’une fracture du col du fémur ?
La fracture du col du fémur est souvent appelée la fracture de la hanche. C’est une fissure qui intervient près de l’articulation de la hanche à la suite d’une chute ou d’un choc. Bien que la plupart des chutes soit sans gravité, environ 5% des chutes entrainent une fracture dont 1% de fracture du col du fémur.
Ce type de fracture est très fréquent chez les personnes âgées du quatrième âge, plus fragiles. La fracture peut entrainer des fortes douleurs chez la personne pouvant l’empêcher de bouger la jambe et/ou marcher.
Ce phénomène peut s’expliquer par une fragilisation de la structure osseuse liée à l’ostéoporose (diminution de la masse osseuse). La diminution de la masse osseuse joue un rôle aggravant, en mettant à fleur de peau les saillies osseuses, rendues ainsi plus fragiles.
Malheureusement, la fracture du col du fémur a souvent des conséquences lourdes pour les personnes âgées
car elle entraine une perte d’autonomie et des complications médicales.
Quels sont les facteurs de risque ?
Les facteurs de risque sont nombreux, à savoir :
- L’âge : plus la personne est âgée plus sa densité osseuse et sa masse musculaire sont réduites. L’âge entraine aussi chez les personnes âgées des problèmes de visions qui augmentent les risques de chute.
- Le sexe : les femmes sont davantage touchées par rapport aux hommes car elles sont plus propices à de l’ostéoporose et subissent une baisse des niveaux d’œstrogènes après la ménopause.
- L’hérédité : les personnes de petite taille ou ayant une petite ossature ont un risque plus important de souffrir d’ostéoporose et donc d’être sujettes à des fractures du col du fémur.
- La nutrition : Les personnes n’ayant pas eu une bonne alimentation plus jeune, notamment avec un manque de calcium ou de vitamine D, réduisent leurs masses osseuses, ce qui augmente les risques de fractures. Pour les personnes ayant des troubles alimentaires tels que la boulimie ou l’anorexie, cela peut détériorer le squelette et empêcher l’organisme de recevoir les nutriments essentiels pour sa construction osseuse.
- Le tabagisme et la consommation abusive d’alcool : fumer et boire excessivement abîment les os.
- Les médicaments : Le fait de prendre plusieurs médicaments notamment certains médicaments assez forts pris sur une longue durée affaiblissent les os ou peuvent provoquer un étourdissement ou une perte d’équilibre, pouvant entrainer des chutes.
- L’absence d’activités physiques : Les personnes ne pratiquant pas d’exercices physiques comme la marche ne renforcent pas leurs os et leurs muscles ce qui peut par la suite entrainer des chutes et par conséquent des possibles fractures.
- Certaines pathologies : Le diabète, la maladie de parkinson, la sclérose en plaque, la démence, les problèmes gastro-intestinaux et le fait d’être alité augmentent les risques de chutes.
Ces différents facteurs de risques ne sont pas nécessairement des causes de fracture du col du fémur mais s’ils sont identifiés et contrôlés, peuvent permettre de prévenir les fractures.
Comment traite-t-on une fracture du col du fémur ?
Il existe plusieurs opérations chirurgicales pour soigner une fracture du col du fémur :
- L’ostéosynthèse : C’est le fait d’insérer une vis pour stabiliser la fissure du col du fémur, à condition que la densité osseuse soit suffisante.
-
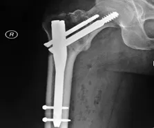
Le vissage dynamique de la hanche : C’est une plaque de métal qui est placée dans la partie supérieure de la jambe accompagné d’une vis fixée sur la tête du fémur.
- La prothèse de la hanche : Cette intervention est très régulièrement utilisée pour les personnes âgées; elle consiste à remplacer le col du fémur fracturé par une prothèse.
Comment prévenir les risques de fracture du col du fémur chez les personnes âgées ?
Pour prévenir les risques de fracture du col du fémur chez les personnes âgées, il est tout d’abord recommandé de faire appel à votre famille, une structure d’aide à domicile
ou le CLIC de votre ville. Ils vous accompagneront pour adopter les matériels d’assistance appropriés comme une barre de douche, un déambulateur par exemple mais aussi à adapter votre domicile dans le but d’éliminer les potentiels dangers (tapis glissant, étagère trop haute etc…)
Parallèlement la mise en place d’un(e) auxiliaire de vie facilitera le quotidien. L’auxiliaire
pourra vous accompagner pour sortir (aide aux courses, balade, aide aux déplacements), Il/elle réalisera des repas équilibrés en apportant des vitamines et du calcium. Pour finir, elle pourra également prendre les différents rendez-vous médicaux afin de vérifier que tout va bien.
Actiomservice, s’engage auprès de ses bénéficiaires à apporter des solutions adaptées aux différents besoins de la personne.
Notre objectif est d’accompagner et d’aider les personnes âgées et/ou présentant un handicap, à rester chez elle en toute sécurité et le plus longtemps possible.












